Smile Gallery

Smile Gallery

Case Studies
Case Studies Photographs – Before and After Dentistry

At the Smile Care Cosmetic Centre in Plymouth, we have a clear mission: to offer you a completely customized and exclusive dental service. We put before you a whole medical team, specialized in the different branches of dentistry, with the firm objective of offering you the best dental treatments, based on personalized attention and honesty. Below are case studies took withing our Plymouth dental clinic:

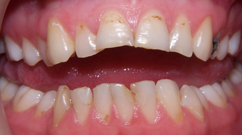
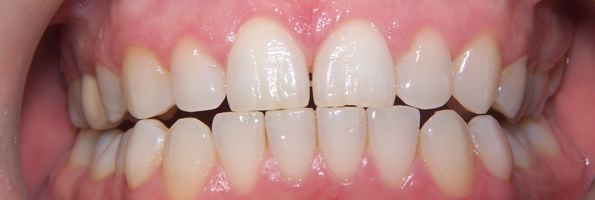
Before and After Porcelain Veneers
Before After
Before After
Before After
Before After
BOOK ONLINE FOR A CONSULTATION
Before and After Dental Clear Braces
Before After
Before After
Before After
Before After
Before After
Before After
Before After
Before After
Before After
Before After
Before After
BOOK ONLINE FOR A CONSULTATION
Before and After Dental Crowns
Before After
Before After
Before After
Before After
Before After
Before After
Before After
Before After
Before After
Before After
BOOK ONLINE FOR A CONSULTATION
Before and After Dental Bridges
Before After
Before After
Before After
Before After
Before After
Smile Care Cosmetic Centre Plymouth

Our clients care and service is our priority. We are often told by our clients that the dental treatments we have provided have dramatically improved their quality of life. For us, it’s about you not having to worry or think about your teeth. You just have to get on enjoying your life to the full.

Before and After Dental Restorations
Before After
Before After
BOOK ONLINE FOR A CONSULTATION
Before and After Composite Bonding
Before After
BOOK ONLINE FOR A CONSULTATION
Before and After Dental Implants
Before
Before
During (Implant)
During (Implant)
During (Study Model)
During (Study Model)
After
After
BOOK ONLINE FOR A CONSULTATION
Before and After Gum Contouring
Before After
Here Is What Our Clients Have To Say!
Smile Care Cosmetic Centre
How to Find Us
Smile Care Cosmetic Centre

Get Us to Call You Back

Fields with (*) are required.
Please contact us via this website or email without disclosing confidential information.

Address

Smile Care Cosmetic Centre
130 North Hill, Plymouth, Devon PL4 8LA

Contact

Call us: 01752 663239
Email: smile@smilecareplymouth.co.uk

Opening Hours

Monday and Wednesday 8.30 AM to 6.00 PM
Tuesday, Thursday and Friday 8.30 AM to 4.00 PM

Google Google Rating Google 5.0

250+ Reviews

Book Now